E-MAGAZINE

거인은 끝까지 찾아냅니다!

난치성 환자의 반복적인 낙상으로 인한 어깨 탈구 수술 후 재파열에 따른 재수술 환자 이야기

페이지 정보
작성자거인병원
등록일 2025-12-17 10:00
조회81

본문

 

안녕하세요 거인병원입니다.

오늘은 매우 드문 형태의 어깨 재건술에 대한 이야기를 해보고자 합니다.

 

뇌전증 병력을 가진 30대 환자에게 발생한 재발성 탈구와 거대 상완골두 후외측 골결손(Hill-Sachs)병변,

그리고 기존 전하방 관절와순파열(Bankart) 수술 후 재파열까지 확인된 사례였습니다.

 

의학적으로도 난이도가 높은 케이스였고, 수술뿐 아니라 수술을 준비하는 과정자체가 상당히 복잡한 케이스 입니다.

 

이 글에서는 왜 이 수술이 필요했고, 어떤 과정을 거쳐 치료가 이루어졌는지 의사의 시선에서 이야기해보려고 합니다.

 

1. 환자가 처음 내원했을 때 — 일반적인 탈구가 아니었습니다.”

 

환자는 약 10년간 뇌전증을 앓고 있었고, 간헐적인 발작으로 인해 두 번의 큰 낙상을 겪었습니다.

첫 번째 낙상(2022)에는 타병원에서 전하방 관절와순파열(Bankart) 수술을 받았고,

두 번째 낙상(2025년 가을)에서는 다시 심한 탈구가 발생했습니다.

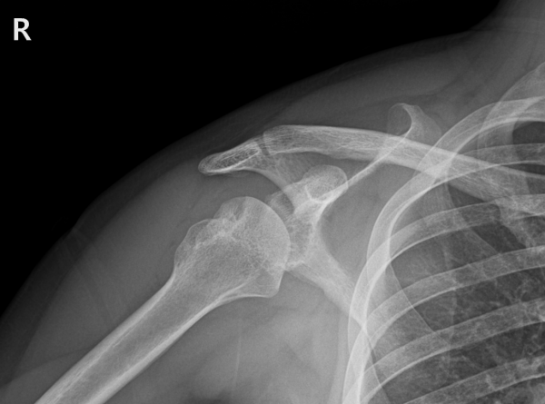
본원에 내원하여 검사를 진행했을 때 다음과 같은 소견을 확인했습니다.

 

 adafb-6941fe3eb7fcf-841328eb2e5f281c4293b22cb1ca0022c1455a14.png

 adafb-6941fe590931d-540881a27359c05429fc9792666d033c90f1ed58.png

adafb-6941fe8a72015-a9852cf6bfec21bd46e048e09fe6af5c527d1cbf.png

 

재파열된 전하방 관절와순파열(Bankart) 병변(Recurrent Bankart lesion-재발성 전하방 관절와순파열)

매우 깊고 넓은 상완골두 후외측 골결손(Hill-Sachs) 결손(huge Hill-Sachs lesion-거대 상완골두 후외측 골결손)

상완골두 변형 및 결손

부분층 회전근개 파열

이 정도면 단순한 재탈구 수준을 넘어, 어깨 관절의 안정성이 거의 상실된 상태였습니다.

 

2. 일반적 수술로는 회복이 어렵다는 판단

 

상완골두 후외측 골결손(Hill-Sachs) 병변의 크기가 매우 컸기 때문에 단순 봉합이나 기존 방식의 수술만으로는

관절의 회전 중심을 되찾기 어려웠습니다.

, 어깨가 다시 빠지지 않도록 구조적 안정성을 회복시키는 것이 가장 중요한 목표였습니다.

여기서 의료진으로서 저는 두 가지 큰 결정을 내려야 했습니다.

 

① 상완골두를 어떻게 재건할 것인가?

 

결손 부위가 너무 커 동종골(osteochondral allograft)을 이용한 상완골두 재건이 필요했습니다.

 

② 재탈구를 방지하기 위한 추가 술기가 필요한가?

 

타원에서 시행한 전하방 관절와순파열(Bankart)병변이 재파열된 상태였고, 견갑골 결손도 있고,

무엇보다 향후 또 넘어질때의 큰 충격에 대비하기 위해서는 Latarjet술식(견갑골 괄절와 전방골 이식 보강술)을 함께 시행해야만

재탈구를 막을 수 있었습니다.

, 단일 술기만으로는 해결이 불가능한 복합 병변이었습니다.

 

3. 수술보다 더 어려웠던 준비 과정 — 뇌전증 환자 관리

 

이 환자는 수술 자체도 고난도였지만,

수술을 어떻게 안전하게 진행할 것인가가 더 큰 고민이었습니다.

뇌전증 환자는 수술 중 발작 발생 위험, 마취 접근의 제한, 약물 복용이 끊기면 발작 가능성 증가 등 여러 요소를 동시에 고려해야 합니다.

신경과·마취과·내과·신경외과와 모두 협진한 결과 수술 당일에도 기존 항경련제 복용을 유지하기로 결정했고,

만약 발작이 발생하면 바로 응급 대응할 수 있도록 아티반 준비 및 협진 체계를 구축했습니다.

이런 과정은 환자의 전신 상태를 최우선으로 고려한 안전관리 시스템이었습니다.

 

4. 수술 — 정교한 이식과 안정성 회복이 핵심이었습니다.”

 

수술은 다음과 같은 순서로 진행했습니다.

 

① 상완골두 동종골 이식 (Humeral Head Reconstruction)

결손 부위에 맞게 이식골을 정교하게 다듬어

정상 관절면과 일치하도록 맞추는 과정이 매우 중요했습니다.

여기서 조금이라도 오차가 발생하면 향후 관절 운동 범위에 제한이 생길 수 있습니다.

 

Headless Screw 2개로 고정

안정적이고 생역학적으로 유리한 고정을 위해 headless screw를 사용했습니다.

 

Open Latarjet 시행

부리돌기를 조심스럽게 떼 내어 관절와 결손부위에 이식하여 관절 전방의 구조적 안정성을 확보했습니다.

이 술기가 병합되어야만 재탈구 위험을 실제로 줄일 수 있었습니다.

전체적으로 정밀성이 요구되는 고난도의 술기였고,

수술은 계획한 대로 잘 마무리되었습니다.

 

adafb-69420097ba372-6751fe1dd3f7e953ff967140b525a7d2773b25ab.png

adafb-694200ac62c11-721ff32081ab30f0209d46b26dcb9db23d614978.png

 

5. 수술 후 결과 — 예상 이상으로 좋은 회복

 

수술 후 첫 CT 결과에서 이식된 상완골두는 정렬 상태가 매우 우수하고, 결손 부위를 정확하게 메우고 있었습니다.

부기·염증수치·통증 모두 양호했고, 신경학적 문제 없이 손·손가락 운동도 잘 되었습니다.

환자는 8일 후 안정적으로 퇴원했고, 현재 외래 추적에서도 회복 경과가 좋습니다.

 

6. 의사로서 이 케이스가 특별한 이유

 

이 환자는 뇌전증으로 인한 반복적 낙상, 기존 수술 후 재파열, 광범위 골 결손, 고난도 술기 병합 필요 등

여러 요소가 중첩된 복합 난이도 케이스였습니다.

이번 수술은 단순히 기술적으로 어려웠다는 의미를 넘어, 환자의 일상 기능을 되찾기 위한 의료진의 협진 시스템과 어깨 수술의 역량이 모두 필요한 사례였습니다.

 

본원 이 케이스를 기록으로 남기고자 하는 이유는

간질이나 심한 사고로 인하여 발생한 쉽게 회복되기 어려울 정도의 심한 관절 불안정으로 고통받는

난치성 환자들에게 치료 가능성의 희망을 보여주고 싶기 때문입니다.